Bellingham Prosthodontics

Our Work

Our Work

Examples of before and after.

Before

Image 1-Before (Showing upper teeth before the procedure)

After

Image 1 -After (Showing upper teeth after the procedure)

Before

Image 2 -Before (Showing upper and lower teeth before the procedure)

After

Image 2 -After (Showing upper and lower teeth after the procedure)

Before

Image 3 - Before (Showing yellow teeth - upper and lower, before the procedure)

After

Image 3 - After (Showing white teeth - upper and lower, after the procedure)

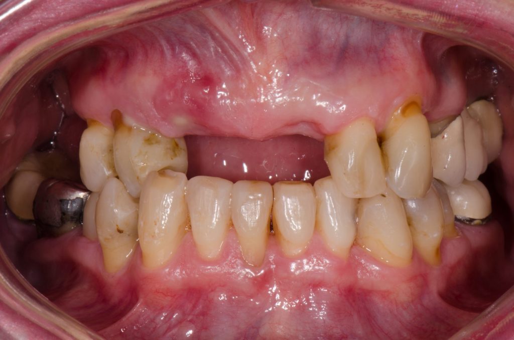
Before

Image 4 - Before (Showing upper and lower teeth - front teeth missing in upper jaw, before the procedure)

After

Image 4B - After (Smiling face, showing upper and lower teeth - after the procedure)

Before

Image 4B - Before (Showing upper and lower teeth - front teeth missing in upper jaw, before the procedure)

After

Image 4B - After (Showing upper and lower teeth - after the procedure)

Before

Image 5 - One teeth missing from upper side, showing the picture before the procedure

After

Image 5 - Upper teeth fixed, showing the picture after the procedure

Before

Image 6 - Before - face closeup showing lower and upper teeth

After

Image 6 - After - Smiling face closeup showing white upper teeth

Before

Image 7 - Before, Photo of inside the mouth, all teeth missing

After

Image 7 - After , Closup of the face with new dentures (upper and lower)

Before

Image 8 - Before, Close photo of teeth, Upper and lower front teeth are missing

After

Image 8 - After, Close photo of teeth, Showing all restored teeth, upper and lower

Before

Image 9 - Before, Close photo of teeth of a woman, teeth are yellowish and not aligned properly

After

Image 9 - After, Close-up photo of teeth of a woman, Showing beautiful white teeth after the procedure

Before

Image 10 - Before, Close-up photo of upper teeth of a woman, Teeth are yellowish-brown, need professional cleaning

After

Image 10 - After, Close-up photo of upper teeth of a woman, showing white, well-cleaned teeth

Before

Image 11 - Before, Close-up photo of upper teeth of a man, photo shows some decayed teeth and multiple teeth are missing

After

Image 11 - After, Close-up photo of upper teeth of a smiling man, photo shows beautiful white teeth after the procedure

Before

Image 11B - Before, Close-up photo of upper and lower teeth, photo shows multiple missing

After

Image 11B - After, Close-up photo of upper and lower teeth , photo shows all the the teeth restored using a denture

Before

Image 12 - Before, Close-up photo of upper and lower teeth of a man, photo shows yellow disoriented teeth

After

Image 12 - After, Close-up photo of upper and lower teeth of a man, photo shows all the teeth fixed after the procedure

Before

Image 12B - Before, Close-up photo of upper and lower teeth, photo shows few remaining yellow and disoriented teeth

After

Image 12B - After, Close-up photo of upper and lower teeth, photo shows upper and lower dentures.

Before

Image 13 - Before, Close-up photo of a man's face, all the teeth are absent

After

Image 13 - After, Close-up photo of a smiling man's face, photo shows beautiful upper teeth and lower teeth are slightely visible